What to expect at your first dental check up in Advanced Smiles Dentistry? If you …
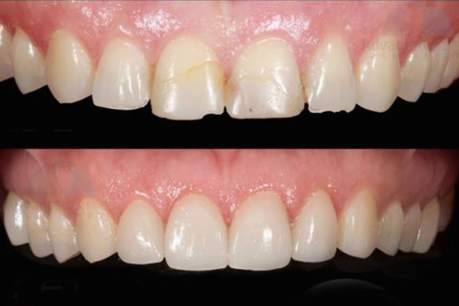
A great option to improve your smile are dental veneers, with this dental procedure we
What to expect at your first dental check up in Advanced Smiles Dentistry? If you
Dental implants certainly offer the best alternative for tooth replacement. This is because the implants
For the last 30 years, there has been an ever-increasing flow of US dental patients
What makes an implant so strong is that the jawbone grows it around and holds
Dental implants in Tijuana México can be utilized when several teeth are missing to support
For people with small issues of their teeth like toothache, teeth alignment and teeth whitening,
Nothing looks better than a full set of good looking teeth, but sometimes various factors
When we hear “dental implants”, usually patients only think about a “post” or “screw” inside
What to expect at your first dental check up in Advanced Smiles Dentistry? If you …
Dental implants certainly offer the best alternative for tooth replacement. This is because the implants …
For the last 30 years, there has been an ever-increasing flow of US dental patients …
What makes an implant so strong is that the jawbone grows it around and holds …
Dental implants in Tijuana México can be utilized when several teeth are missing to support …
For people with small issues of their teeth like toothache, teeth alignment and teeth whitening, …
Nothing looks better than a full set of good looking teeth, but sometimes various factors …
When we hear “dental implants”, usually patients only think about a “post” or “screw” inside …
We are excited to have the opportunity to finally welcome you , we are open …